General Hospital
0371-9618999
河南中汇医院心血管专科医学部是医院重点发展专科,专科医学部由心血管专科门诊(内、外科专家门诊)、心血管内科病区、心血管外科病区、重症监护病区、介入导管室、心功能室及患者管理部(健康随访中心)八部分组成。拥有冠心病介入、起搏器植入和心律失常治疗等心脏介入资质,汇集了刘怀霖、王平凡、金华、贾清仁、韩泽蓉、丁军等知名专家。
小编带大家去看看河南中汇医院心血管专科医学部手术室的一天。
心血管外科手术室
2021年7月8日8时医护人员一上岗,心血管外科手术室里就忙碌了起来,第一间手术室里,一个年仅4岁的小男孩安静的躺在手术床上,似乎进入了梦乡,可是给他做手术的医生叔叔和护士阿姨却没那么轻松,小伊(化名)是一个阳光明媚的小男孩,大大的眼睛,长长的睫毛,古龙色的皮肤,不胖不瘦,跑起来像一阵风一样,可这样一个像风一样的小男孩,我们很难和先天性心脏病联系在一起。

(图为丁军主任带团队正在为患者进行心脏外科手术)
“大概在他出生后半岁的时候,有一次感冒,带他去医院看病,医生听了听说我们有杂音,做了心脏彩超,诊断为先天性心脏病,建议手术治疗,当时考虑年龄小、风险大一直没有做,近半年来孩子经常出现感冒、发热,并活动后憋气、嘴唇发紫,四处求医,都不敢下决心手术。偶尔一次机会,听说河南中汇医院是诊治这种疾病非常专业,并有亲戚在这里手术效果非常好,慕名来找心血管外科丁军主任”,小伊的妈妈说。

(图为丁军主任耐心细致地照看并检测孩子的各项数据)
早上8时小伊入手术室,麻醉,建立体外循环,手术有条不紊的进行着,12时30分手术顺利结束,下午16时顺利脱机,两小时后转回病房。
术后丁主任说:“先天性心脏病对于我们心外科来说是很平常的手术,但是涉及心脏,都没有小手术。在心脏上缝缝补补就像是在豆腐上缝缝补补一样需要格外小心,稍不注意容易伤及传导束,造成术后心律失常。”
小伊是幸福的,因为有爱他的父母;小伊是幸运的,手术后他可以像正常的孩子一样上学、工作,为自己的未来打拼;祝福他,相信他的人生会与众不同,相信等待他的将是美好的明天!
心血管内科手术室
同时段,在心血管内科手术室,心脏介入手术也在紧张的进行中,刘怀霖院长穿着15公斤重的铅衣,汗水湿透了手术衣,虽然做过上万例冠脉内支架置入手术,但是对于每一个患者,刘院长都亲自上台,一边给患者精心手术,一边耐心地指导他的学生们。

刘院长是全国知名心血管专家、心脏介入专家,技术精湛、医德高尚,虽然每天很累,依旧默默地坚守临床一线,每日查房、讨论疑难病例、心脏介入手术,为社会夜以继日的辛勤付出着。各种心脏病患者从这里,经过刘院长的精心治疗,痊愈出院,多少个家庭因为刘院长过着幸福美满的生活。

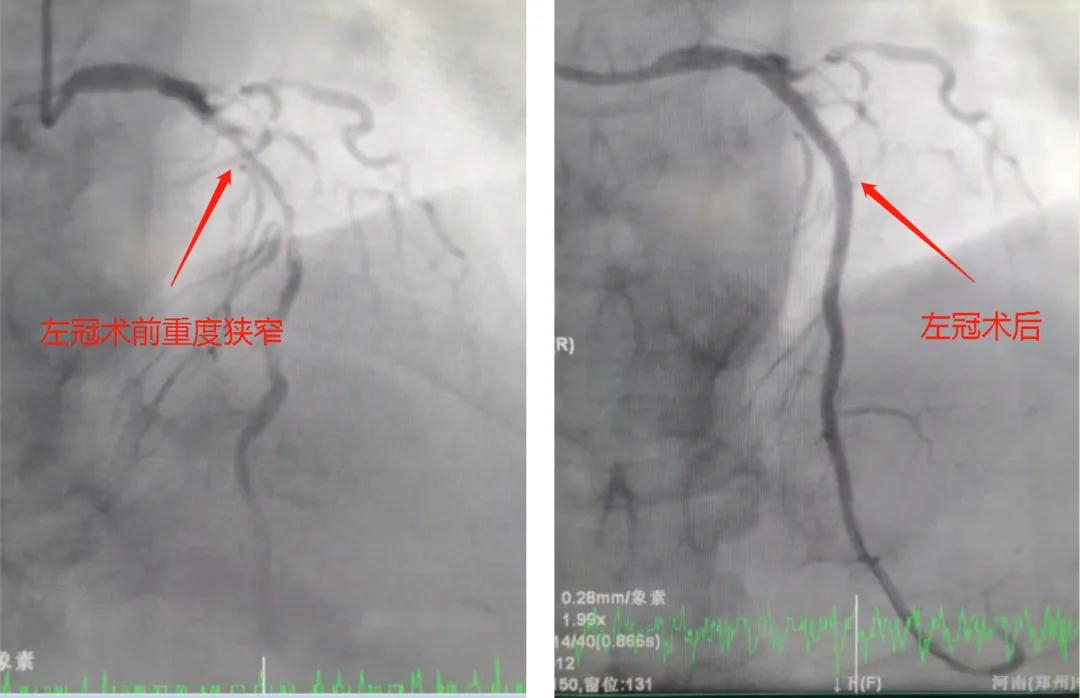
(左图为心脏支架植入前几乎闭塞,右图支架植入后恢复正常)
时间一分一秒过去,一个接一个病人顺利地完成支架植入手术,原来闭塞的、狭窄的血管,在开通地一瞬间,一股血流顺利地通过原本不通畅的血管流向冠脉远端,在那一刹那,病人自觉一下子心胸豁然开朗,无比舒畅,而医务人员的心也随之轻松了许多。

(左图为心脏血管支架植入前完全闭塞,右图支架植入后恢复正常)
下午14时,最后一台手术终于结束了,刘院长才有机会坐下来喝口水,吃着已经凉透的盒饭,而这样的情境几乎每周都会上演,医务工作是艰辛的,也是伟大的,向老一辈医务工作者学习,致敬!
总结
心血管专科手术室的一天,这里记录了河南中汇医院心血管专科医学部专家们的付出,能在常年累月繁忙的工作中做到这份坚持,需要科室带头人的毅力和医务人员的恒心,希望通过这份坚持让更多的患者能够解决疾患,凭借过硬的诊疗技术让患者重获新生,重新绽放美丽生命的健康之花!